Complete Dentures
For Patients with no remaining natural teeth
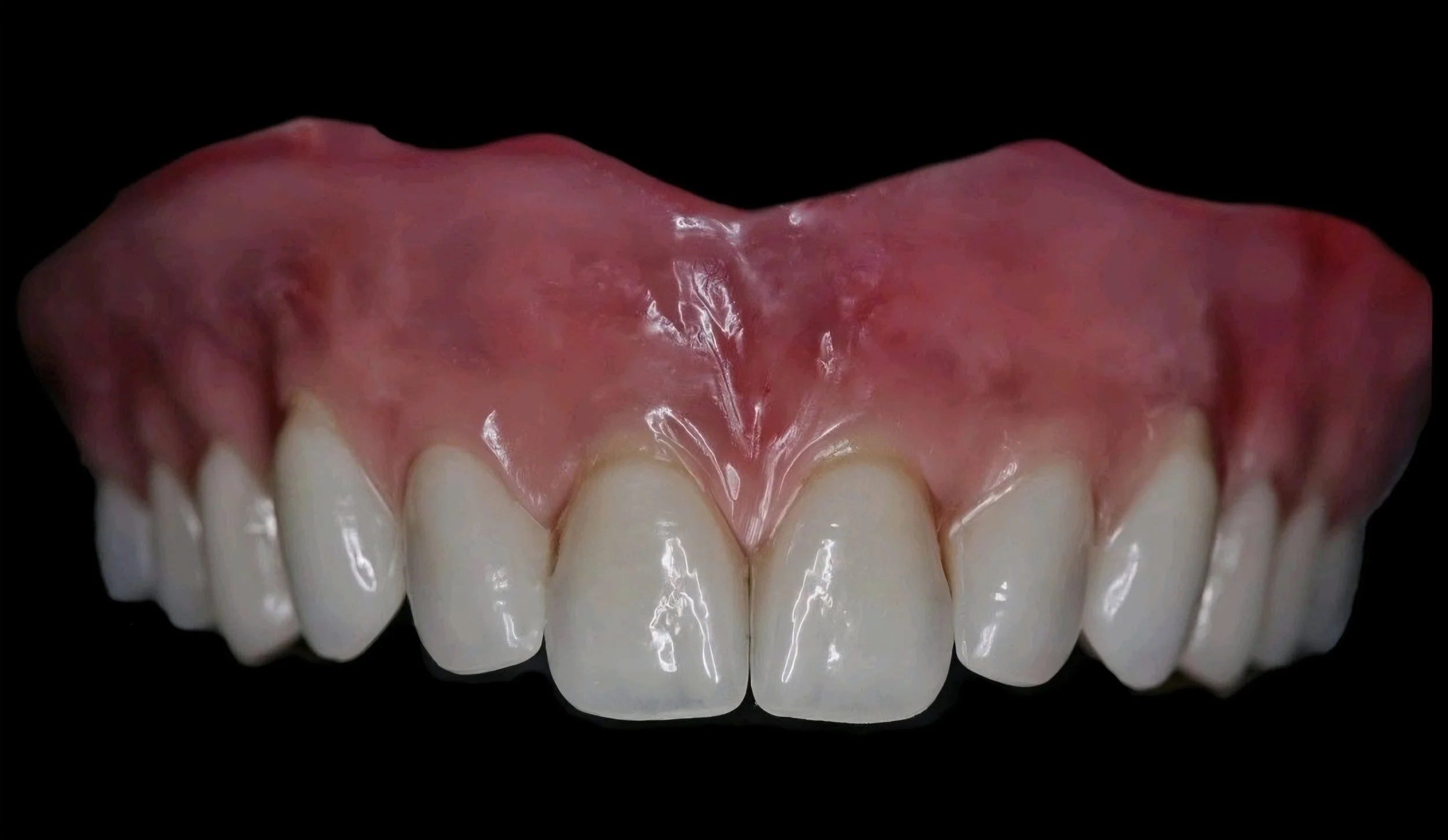
For patients who no longer have natural teeth, there is no need for a referral to access treatment with a Clinical Dental Technician. Edentulous cases are often considered the most technically demanding within dentistry, and this is an area in which I specialise.
By personally designing and manufacturing your dentures in-house, I can restore facial support, balance and natural expression while ensuring a healthy, comfortable fit. Each appliance is produced using advanced Ivobase injection technology — creating a dense, durable, monomer-reduced base with excellent long-term performance and tissue compatibility.
Another important advantage is future flexibility. These dentures are **implant-conversion ready**, meaning they can be adapted to an implant-retained option later in life without starting again from the beginning.
Throughout treatment, you will receive calm, attentive guidance focused on comfort, function and aesthetics. Whether this is your first complete denture or an improvement on previous experiences, my goal is to restore confidence and expression with craftsmanship you can rely on every day.
